病理级IHC专用一抗
以满足人组织样本IHC实验为核心目标,贯穿从免疫原设计、阳性细胞株筛选到抗体功能验证的全研发过程,由国际顶级单克隆抗体制备专家全程指导,以临床检测要求为标准,与国际病理抗体品牌进行结果比较。
一、精准化研发:聚焦IHC
1. 免疫原设计:特异性的核心保障
免疫原的选择与设计是决定抗体研发成功率的关键。优先采用合成多肽肽段作为免疫原,由国际顶级单克隆抗体专家指导,确保抗原表位清晰可辨,从源头提升抗体的特异性与靶向性,减少IHC实验中的非特异性结合干扰。
2. 细胞株筛选:锁定高效分泌细胞
以IHC实验需求为导向,通过人组织样本IHC检测,精准筛选能分泌目标抗体的阳性小鼠与阳性B细胞;在此基础上进行杂交瘤细胞株的培养与筛选,层层递进,筛选可稳定、高效分泌目标抗体的优质细胞株,为后续抗体制备奠定基础。
3. 抗体制备与初检:兼顾纯度与活性
将筛选后的优质杂交瘤细胞株置于小鼠腹腔进行培养,通过腹水纯化技术获取高纯度单克隆抗体;同步完成抗体纯度检测、亚型鉴定及IHC检测。
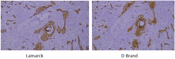
二、临床级质控:对标国际顶尖标准
全维度质控,对标临床标准:以临床病理检测严格要求为基准建立验证体系,既对纯化后抗体的纯度、亚型、IHC 等核心指标多维度把关,保障抗体性能稳定均一;又通过与国际知名病理抗体品牌的平行对照实验,经人组织样本 IHC 结果横向比对,确保检测效果与国际顶尖水平一致且更具优越性。
Target: CEA
Tissue: human rectal cancer

Target: CK-pan
Tissue: human oral squamous cell carcinoma

Target: CD31
Tissue: human liver

高特异性突出,保障诊断精准:对靶抗原识别专一性极强,能精准结合组织 / 细胞中特定蛋白与抗原表位,极少发生非靶标交叉反应,可有效避免 “假阳性”“假阴性”,是区分正常 / 病变组织、明确病理分型的关键。
适配复杂样本,兼容主流技术:针对病理实验中 FFPE、冰冻组织、细胞涂片等多样本类型,及抗原修复难、样本降解等问题,经特殊设计与验证,可耐受高温抗原修复、脱蜡脱苯等预处理流程;即便在低抗原表达量样本中也能有效结合靶标,适配 IHC、IF 等主流病理检测技术。
批次稳定性强,结果可重复:生产中经效价检测、特异性验证、稳定性测试等严格批次质控,不同批次抗体在效价、结合能力上差异极小,能保证不同时间、不同人员操作下检测结果一致,符合病理实验 “标准化、可重复” 要求,避免批次波动导致的诊断偏差。
经临床场景验证,提升实验效率:通过临床样本验证(如与已知病理结果组织切片比对),提供明确病理应用数据(如疾病组织阳性表达模式、推荐稀释比例),提升实验效率。
病理级IHC专用二抗
病理级IHC二抗以多聚体酶标记技术为核心,专为临床病理检测的高要求场景设计,旨在通过技术优化解决传统二抗在信号放大、背景干扰、实验效率等方面的痛点。
1. 核心技术原理
以多聚体(Polymer)为载体,借助其多位点特性,在单个载体上同时偶联数个过氧化物酶分子与靶向小鼠/兔子免疫球蛋白的二抗分子,构建出“信号放大+特异性结合”一体化的IHC显色系统,最终呈现精准、明亮、清晰的染色信号,确保病理切片中目标抗原的准确定位与判读。
2. 四大核心优势,对标临床病理标准
核心性能优异:采用多聚体酶标记二步法,具备强特异性、高灵敏度与低背景优势,非生物素标记设计可规避内源干扰,能输出更精确、清晰且明亮的检测结果,保障信号质量;
符合临床标准:经多指标、多组织样本验证,严格遵循临床病理诊断规范,性能媲美国际知名品牌,满足临床检测对结果可靠性与一致性的高要求;
适配性广泛:实现鼠 / 兔种属通用,无需因一抗种属频繁更换二抗,适配多场景病理检测需求;
操作高效便捷:采用即用型设计,仅需 30 分钟孵育即可精准完成检测,大幅简化流程、提升实验效率。